| |
|
|
la vie est un plat de merde qui se déguste chaque jour
 |
la grisaille de la vie quotidienne
inquiétude univers extérieur hostile (humains objets)
|
 |
que c'est dur de survivre la vie/la mort
l'homme-machine
La biochimie de la pensée dans le cerveau |
 |
les émotions de simples turbulences de la machinerie hormonale
à quand la fabrication de pensée par des substances ?
L'homme esclave de ses gènes
|
 |
la mort = fin du disque dur
réseaux de neurones intelligence artificielle
génie génétique
|
 |
folie meurtrière des terroristes
chômage insécurité guerre
soumission esclave/maître
|
 |
peur peur peur espoir/crainte
gérer les problèmes personnes imprévisibles
de l'argent du fric du fric
SDF mendicité tiers-monde
|
astrophysique origine de l'univers
atomes particules
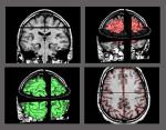
Dans le cerveau, des ensembles de neurones synchronisent leur activité. Les décharges simultanées de ces assemblées de
neurones sont associées à la perception consciente du monde environnant.
Comment le monde mental naît-il du monde matériel? Le cerveau possède quelque 100 milliards de neurones, chacun relié à
ses voisins par environ 10 000 connexions. Mathématiquement, la possibilité d’agencement de 10 000 neurones parmi 100
milliards en utilisant 1015 connexions est au-delà de tout ce que les machines ou les hommes peuvent concevoir. Ainsi, on
peut imaginer que ces agencements de sous-groupes de neurones, ou d’assemblées de neurones, comme nous les nommerons,
pourraient coder qui un objet, qui une des situations auxquelles nous sommes confrontés chaque jour. Malheureusement,
cette hypothèse ne nous permet pas encore de répondre à la question posée
Tout ce qui appartenait traditionnellement au domaine du spirituel, du transcendant et de l’immatériel est en voie
d’être matérialisé, naturalisé et, disons-le, tout simplement humanisé.
la biologie du cerveau et l’étude de son évolution nous mettent sur la voie qui nous donnera la clef de la conscience
elle-même.
...les dernières avancées des neurosciences concernant l’étude du cerveau permettent d’envisager
dans un avenir proche la disparition de toutes les chimères irrationnelles indignes d’un vrai
civilisé. Dieu, transcendance, esprit, amour…, tout ça n’est que le fruit de sécrétions
hormonales et de rouages neuronaux. Seuls des fous, des fanatiques, des arriérés primitifs et
des rêveurs complaisants peuvent encore croire sérieusement qu’il existe d’autres réalités que
celles qu’éclaireront les neurosciences sous la lame de leurs scalpels et les feux des imageries
magnétiques.
|
|
| URL : http://cousin.pascal1.free.fr/index1.html |
| me contacter |
|
|
|